The Day My Oat Milk Disappeared (and What It Taught Me About Kindness)

It’s easy to feel justified in our frustration when we’ve been wronged, especially in the small, everyday injustices that chip away at our patience. But sometimes, behind…

My Terminally Ill Mother Wanted to Move In, but I Said No — She Left Me First

Our reader’s estranged mother, who is critically sick, unexpectedly requests to move back in. She declines, but the incident gradually escalates, involving the police. Read her tale…

Minneapolis Church Shooting: Suspect Identified as Robin Westman After Tragedy Leaves Two Children Dead

What was meant to be a peaceful school Mass at Annunciation Church in Minneapolis turned into a tragedy that has shaken the entire community. On August 27,…

Test Your Eyesight: Can You Spot the Hidden Cat in This Backyard?

In a world of fast-scrolling and endless digital noise, one thing still makes us pause: a clever optical illusion. These puzzles entertain, challenge our perception, and remind…

She Said I Was a ‘Dead End’—Until I Handed Her an Envelope That Changed Everything

At a recent family dinner, my brother announced that since he had children, he and his wife would inherit everything from our parents. I asked my mother…

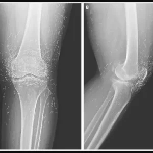
X-Ray Reveals Hundreds of Gold Needles in Woman’s Knees

Doctors examining X-rays of a 65-year-old South Korean woman with severe knee pain made a startling discovery: hundreds of tiny gold acupuncture needles embedded in her tissue….

Why Setting Boundaries Changed My Life at 50

At 50, I quit—not life, but the endless roles that had worn me down. I quit the stressful job that drained me, the constant rushing, and most…

The Teacher Who Changed My Life With Kindness

When I was 14, life was tough. My family could barely make ends meet, and many days I went to school pretending I had simply “forgotten” my…

Robin Westman Identified in Annunciation Church Tragedy Involving Two Children – New Details Released

A peaceful school Mass at Annunciation Catholic Church in Minneapolis took a devastating turn on August 27, 2025, when an unexpected incident deeply affected students, staff, and…

The Night I Learned the Value of Dining Alone

I went to dine alone at a fancy restaurant. I got a table near a window with a view. Soon after, a server came asking if I’d…